Romexis 7
Kód: 173



Detailní popis produktu
Softwarová platforma Planmeca Romexis® nabízí všestranné a intuitivní nástroje pro různé lékaře a odbornosti – pomáhá všem typům zubních klinik dosáhnout jejich plného potenciálu a poskytovat tu nejlepší možnou péči. Modul pro 3D zobrazování v softwaru Romexis podporuje všechny typy 3D snímků.
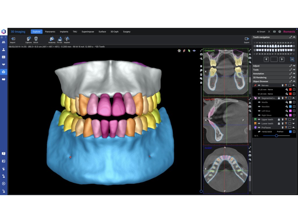
Navigace podle čísla zubu - Díky automatickému rozpoznání čísla zubu lze v CBCT objemu snadno navigovat pouhým kliknutím na číslo zubu v zubním diagramu – software automaticky zarovná všechny náhledy na vybraný zub. Kliknutím na číslo zubu lze také vyříznout konkrétní zub ze 3D zobrazení, což poskytuje vynikající pohled na jeho anatomii.

Nástroje pro endodoncii - Všechny naše 3D zobrazovací jednotky disponují speciálním vysokým rozlišením s velikostí voxelu 75 µm, které bylo navrženo přímo pro endodontické snímkování. V kombinaci s vynikajícími vizualizačními možnostmi softwaru Romexis je tento režim ideální pro endodontickou diagnostiku i edukaci pacienta. Lze snadno vyhodnotit kořenové kanálky, úrazy, zlomeniny kořenů i jejich resorpci – což umožňuje přesné stanovení diagnózy a plánování ošetření.

Výkonné diagnostické nástroje ve 3D - Univerzální diagnostické náhledy modulu Romexis 3D poskytují okamžitý přehled o anatomii pacienta – umožňují zobrazit snímky z různých projekcí nebo je automaticky převést na panoramatické snímky a řezy. Měřicí a značicí nástroje softwaru – jako je trasování nervového kanálu – dále podporují bezpečné a přesné plánování ošetření. Různé možnosti 3D zobrazení zlepšují vizualizaci a zároveň slouží jako skvělý nástroj pro edukaci pacientů.

Zobrazení čelistního kloubu (TMJ) - Bolesti temporomandibulárního kloubu (TMJ) postihují významnou část populace. Software Romexis nabízí speciálně navržené náhledy pro vyšetření a analýzu problémů s tímto kloubem. Oba klouby pacienta lze v softwaru vyhodnotit současně a provádět přesná měření. Díky umělé inteligenci Romexis automaticky rozpozná kondyly.

Efektivní analýza dýchacích cest - Segmentace dýchacích cest v softwaru Romexis probíhá pomocí několika jednoduchých kliknutí. Software automaticky vypočítá jejich objem a minimální plochu a vizualizuje dýchací cesty pacienta pomocí výrazných barev. Náš zobrazovací protokol Planmeca Ultra Low Dose™ pro CBCT je zároveň ideální volbou pro vyšetření dýchacích cest, protože výrazně snižuje dávku záření bez statisticky významného snížení kvality diagnostického obrazu.

Modul pro 3D zobrazování v softwaru Romexis lze plynule rozšířit na komplexní software pro plánování ošetření, který podporuje plánování implantátů i ortognátní chirurgie. Kompletní implantologický pracovní postup navíc umožňuje navrhovat chirurgické šablony pro zavádění implantátů a dlahy pro ortognátní operace.
Doplňkové parametry
| Kategorie: | Softwary |
|---|---|
| Záruka: | 2 roky |
Diskuze
Buďte první, kdo napíše příspěvek k této položce.
